반응형
호야의 육아일기 - 임신 28주
정확한 임신 주차는 29주차!
임신 24주 때의 미션이었던 호야의 배를 통통하게 하는 것은 완수하지 못했다.
아직도 호야의 배는 홀쭉하다고 한다. 그나마 많이 따라잡았다는 말을 듣기는 했지만, 조금은 걱정이 앞선다.
이번에도 열심히 호야 배를 통통하게 만들어야 하는 숙제를 가지고 오게 되었다.
아기의 무게가 1kg을 넘었다. 그래서 그런지 아내의 식사량이 조금은 늘었고, 숨쉬기가 조금은 힘들어졌다고 한다. 임신 28주부터는 조기진통이 있을 수 있기 때문에 증상이 있으면 담당의사에게 알려야 한다고 한다.
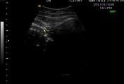
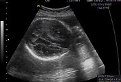
임신 28주부터는 산전관리 때문에 2주에 한번씩 병원을 찾아야 한다. 초음파 검사로 양수의 양을 체크하고, 태아의 위치 및 크기도 파악해야 한다. 우리 호야는 아직 뒤집기를 시작하지 않았다. 의사의 말로는 이제 뒤집어야 한다고 한다. 그래서 알려준 요가의 자세를 열심히 하고 있는 중이다.
또한 양수가 줄거나 많은지 파악하고 태아의 크기가 심하게 작을 경우에는 자궁내 태아발육지연을 의심해 봐야 한다고 한다. 임신 중독의 발생이 증가하는 시기이기 때문에 2주마다 단백뇨, 체중, 혈압을 체크해어야 하는 시기라고 한다.
호야의 머리 크기는 적당하다고 한다. 잘 크고 있다. 거기다가 남자아기. 임신 24주부터는 남자아기의 고환이 아래로 내려온다고 하던데 임신 24주때는 호야가 업드려 있어서 보지 못했던 것도 보게 되었다.
콧구멍도 뚫린 것을 확인할 수 있었고, 여전히 아내의 속쓰림은 계속되었고, 아기가 가장 많이 자라는 시기라서 그런지 자궁뼈가 쑤신다고 한다.
이 때부터는 임신중독증을 특히나 조심해야 한다. 염분 섭취를 줄이고, 정신적 불안과 수면 부족이 생기지 않도록 해야 한다. 특히나 뇌의 발달이 종료되는 시기이므로 신선한 공기를 마쉴 수 있도록 하는 것이 좋다고 하는데 우리 아내는 답답한 사무실에서 탁한 공기를 마시면서 일을 하고 있으니 이 또한 NG이다.
임신 28주부터는 임신 후기로 들어가는데 폐로 호흡하고 신장으로 배설하는 등의 생활 적응 훈련을 시작한다. 출산에 대비하여 머리 방향을 바꾸게 되는데 아직은 아래에서 차는 것 같다. 빨리 위치를 바꿔야 할텐데..
임신선이 뚜렷해 졌다. 또한 다리가 붓기 시작했다. 다리가 붓거나 손발이 저리게 되는 것은 배가 커지면서 몸의 균형이 깨져서 일어나는 문제라고 한다. 붓기가 빠지지 않을 때는 임신중독증을 의심해 봐야 한다.
속쓰림이 계속 진행되고 있던 어느날. 무심결에 먹었던 떡 한개! 속쓰림이 멈췄다고 한다. 그래서 지금은 떡을 가방에 넣고 다니면서 하나씩 먹고 있다. 임신중 속쓰림 이렇게 해결이 되었네요! 다른 분들은 어떻게 하셨을까?
반응형
'One's Life Story > in House' 카테고리의 다른 글
| 호야의 육아일기 [임신 후기] - 이제 출산이 코앞에.. 임신 36주 (8) | 2010.05.05 |
|---|---|
| 호야의 육아일기 - 임신 30주 (조기진통이 오다) (4) | 2010.04.20 |
| 호야의 육아일기 - 임신24주 (2) | 2010.03.18 |
| 코엑스 베이비페어에서 수유쿠션, 좁쌀베개, 짱구베개 구입했어요! (16) | 2010.03.12 |
| 출산 준비 구입 품목 리스트 (2) | 2010.02.20 |